
La causa más común de la cirugía facial se debe a traumas, accidentes y tumores faciales
La cirugía maxilofacial es la rama quirúrgica que se ocupa de trabajar en la reconstrucción y remodelación de los huesos y los tejidos faciales. Es una disciplina muy amplia que se ocupa principalmente de los resultados traumáticos, malformaciones, neoplastias y resultados de las enfermedades congénitas. Junto a las intervenciones reconstructivas y funcionales, también están las operaciones estéticas destinadas a mejorar o modificar las características faciales para hacerlas más armoniosas.
Se encarga de la prevención, el diagnóstico y el tratamiento de los trastornos de la cabeza y el cuello, o el área de la boca, cara, cabeza y cuello. Es responsable del tratamiento de diversos tipos de enfermedades infecciosas e inflamatorias, deformaciones y defectos genéticos o adquiridos.
La causa más frecuente de la cirugía facial se debe a traumas o accidentes faciales y tumores faciales que causan malformaciones y requieren reconstrucción.
La cirugía maxilofacial se ocupa principalmente de trabajar en la reconstrucción y remodelación de los huesos y los tejidos faciales. En México, el precio de una cirugía maxilofacial suele ser de alrededor de $100,000 pesos. Para conocer el desglose por ciudades, visita nuestra página de precios de cirugía maxilofacial.
El especialista en esta disciplina tiene, además de las habilidades generales en medicina y cirugía, también una preparación específica en odontología, cirugía plástica, otorrinolaringología y neurocirugía. La intervención de un cirujano maxilofacial es necesaria para tratar los siguientes casos:

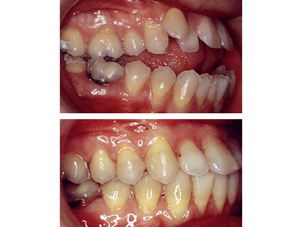
Imagen de Centro Dentofacial
El candidato para este tipo de cirugía es cualquier paciente adulto o pediátrico que, debido a problemas de salud y limitaciones físicas, deba someterse a este tipo de procedimiento para mejorar su calidad de vida.
En casos muy graves, este tipo de intervención puede ser necesaria para hacer frente a emergencias médicas, donde la vida del sujeto está en riesgo, es el caso de intervenciones postraumáticas o pediátricas para reconstruir malformaciones neonatales.
Por otro lado, se pueden realizar casos de cirugía estética en los cuales no hay ningún tipo de patología pero el paciente requiere cambios en la cara, nariz, pómulos, etc. Será el médico quien decidirá las posibles intervenciones basadas en el cuadro clínico del paciente para salvaguardar su salud.

Imagen de Dr. Alberto Hiracheta
La cirugía oral y maxilofacial se encarga de las patología de:
Para ser cirujano maxilofacial y oral se debe tener el título oficial de especialista otorgado por el Ministerio de Sanidad y Consumo.

Pruebas preoperatorias
Al igual que con cualquier evaluación preoperatoria, primero se elaborará su cuadro clínico completo y se realizará un examen físico para determinar si eres un candidato adecuado para poder someterte al procedimiento. Podría ser necesario antes de decidir la operación realizar diagnóstico de ortodoncia con cefalometría.
Durante la primera visita, será importante hablar con tu médico acerca de tus expectativas, posibles complicaciones y posibles riesgos. De esta manera puedes aclarar todas las dudas que puedan haber surgido sobre el tema.

Imagen de Iceger
Es necesario dejar de fumar durante al menos cuatro meses antes y después de la operación, para asegurar una mejor recuperación y una rápida curación de las heridas. No deberás tomar ningún medicamento que pueda aumentar el sangrado, como aspirina y medicamentos antiinflamatorios, y deberás suspender cualquier píldora anticonceptiva.
Antes de la operación y según la edad del paciente, el médico puede solicitar análisis de sangre específicos, especialmente si el paciente tiene factores de riesgo como obesidad, diabetes o enfermedad coronaria.
En el caso de que se sigan dietas particulares, como la vegana, es necesario informar al médico para evaluar juntos la ingesta correcta de alimentos, a fin de evitar complicaciones y hemorragias. Algunos alimentos como el ajo, el tomate, el ginseng y la piña podrían interferir con los procesos de coagulación. El equipo médico de la clínica también sugiere prestar más atención a tu higiene bucal en los días previos a la cirugía, usando enjuagues bucales desinfectantes. Otra sugerencia útil podría ser realizar algunas sesiones de drenaje linfático estético antes de la operación.
Las operaciones maxilofaciales se realizan bajo anestesia general. Antes de la cirugía, tendrás una entrevista con tu anestesiólogo, quien decidirá el tipo de anestésico adecuado para ti. Recuerda que es muy importante contar con alguien que te ayude después del procedimiento, ya que los efectos de la anestesia pueden durar algunas horas después del procedimiento.
Una vez anestesiados, los médicos en el quirófano insertarán un catéter venoso en el brazo para la inyección de sustancias líquidas y un tubo que permitirá la administración de oxígeno para facilitar la respiración.

El tiempo de convalecencia dependerá del paciente y la cirugía
Es difícil hacer una estimación general del tiempo de convalecencia, dependiendo de estos de cada paciente y del tipo de cirugía realizada. Cada procedimiento tiene una técnica diferente que varía en duración y complejidad. El período de descanso y la recuperación completa varían según la intervención y las características de cada paciente.
Es importante hablar con el médico sobre el tiempo de descanso, el cuidado de las heridas y acudir constantemente a los controles postoperatorios durante el tiempo solicitado por el especialista. El paciente recibirá un medicamento analgésico o sedante para aliviar el dolor. Si el paciente aún muestra dolor moderado o intenso a pesar de los medicamentos indicados, será importante consultar al médico para una nueva evaluación y revisión de los medicamentos.
Lo más probable es que la capacidad de masticar alimentos sólidos se vea comprometida temporalmente, primero deberá seguir una dieta líquida y luego pasar a la ingesta de alimentos semi blandos. Se recomienda consumir batidos de frutas frías, sopas de pollo o verduras y homogeneizadas, lo que ayudará a aumentar las calorías y evitar la pérdida de peso durante el período de recuperación. En algunos casos, puede ser necesario recurrir al uso de humectantes y gotas de nutrientes.
Los primeros días después de la operación te puedes sentirse cansado y puedes tener problemas de insomnio, es completamente normal y, a menudo, está relacionado con la inflamación y el malestar causados por las heridas; estos síntomas desaparecerán después de la primera semana.
Es importante tratar de volver a ponerse de pie y caminar lo antes posible para que puedas adoptar inmediatamente una postura correcta mientras mantiene la cabeza levantada lo más posible. No se recomiendan las actividades deportivas durante las primeras 8 semanas, ya que en esta fase el resultado de la operación podría verse comprometido por movimientos repentinos.

Imagen de Centro Dentofacial
Aunque los resultados definitivos no pueden predecirse al 100% antes de la cirugía, el médico debe ser muy claro sobre ellos. Es importante que el paciente y el médico tengan una conversación honesta durante las diferentes citas sobre las expectativas del paciente y los resultados que el médico aspira a obtener. De esta forma, no se crean falsas expectativas.
Es fundamental tener en cuenta que algunos procedimientos requieren más de una cirugía para lograr el resultado médico deseado.

El médico deberá informarte sobre los posibles riesgos
Aquí encontrarás algunas de las complicaciones más comunes de los procedimientos quirúrgicos maxilofaciales. Tu médico puede ser más específico en función de cada tipo de cirugía: