

Clínica Dental Condesa y su equipo de trabajo son especialistas en distintas especialidades dentales como estética dental, ortodoncia, cirugía, prótesis, diseño de sonrisa y odontopediatría.
La atención en la Clínica Dental Condesa tiene como prioridad la salud bucal y ofrece resultados probados y asegurados con tratamientos con excelencia.
Pide consulta de valoración sin costo y si necesitas diseño de sonrisa, cambiamos tu estética dental por completo en 1 día sin desgastar los dientes.
Especialidades
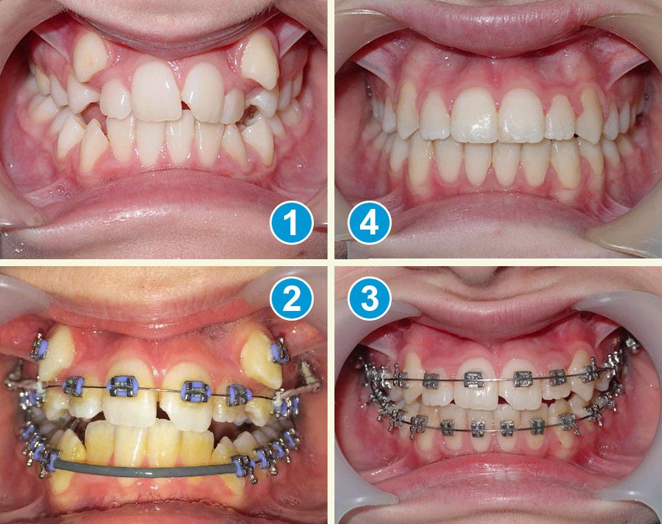
La Clínica Dental Condesa tiene especialistas para realizar diferentes tratamientos, entre los cuales destaca el diseño de sonrisa, compuesto por un conjunto de procedimientos diseñados para proporcionar una mayor armonía entre las características del rostro y de la boca y lucir más atractivos. También son especialistas en ortodoncia ideal para las dentaduras con dientes mal posicionados o chuecos. En este tipo de tratamientos como invisaling, brackets, etc., se corrige la posición y se obtienen mejoras estéticas y funcionales.
Dentro de las especialidades de la Clínica Dental Condesa no pueden faltar los tratamientos de carillas dentales, ideales para cambiar el color, el tamaño, la forma o posición de los dientes y conseguir una mejor apariencia. Los tratamientos de endodoncia y periodoncia, resinas dentales, cirugía maxilofacial, prótesis dentales también forman parte de sus servicios.
Equipo
El equipo de la Clinica Dental Condesa está certificado por la Asociación Dental Mexicana, el Colegio Nacional de Cirujanos Dentistas, la Asociación Americana de Ortodoncia y la Asociación Mexicana de Ortodoncia. Además, cuentan con instalaciones y equipo de vanguardia dotado de todos los servicios para brindar la mejor atención a sus pacientes
Localización
La atención la puede recibir en las instalaciones de la Clínica Dental Condesa ubicada en la colonia Condesa, alcadia Cuauhtémoc. Resuelve todas tus dudas y no olvides preguntar por sus promociones y facilidades de pago.
Posibilidad de videoconsulta:
Financiación o facilidades de pago:
Leer más Leer menos
Leer más Leer menos
Todo esto que te paso, si es que era indispensable quitarte las muelas del juicio, debieron comentártelo en su momento en tu tratamiento. Las...
Leer más