
Imagen del Dr. Carlos Veleyra
Los implantes dentales son una especie de raíces de dientes artificiales. Son piezas quirúrgicas de distintos materiales similares a los tornillos, los cuales se ubican en el hueso de la mandíbula y se unen con el hueso natural. Este proceso de fusión al hueso por lo general tarda entre 4 y 5 meses y de esta manera se convierten en una base sólida para sostener uno o más dientes artificiales, llamados coronas.
Los implantes son la forma más fiable de reponer dientes, estos funcionan como una nueva raíz en la que se coloca una corona dentaria. Al finalizar el tratamiento, el paciente puede masticar los alimentos como si fueran dientes normales, sin tocar los dientes adyacentes, como en un puente. Además, son prácticamente iguales que los naturales y estéticamente no existen diferencias.
La AAID comenta que la tasa de éxito de los implantes dentales ha sido reportada en la literatura científica en un 98%. Su efectividad se debe a que los implantes son los dispositivos más fuertes disponibles para apoyar los dientes de reemplazo y de esta manera, permiten que estos nuevos dientes se sientan, se vean y funcionen naturalmente. A eso también se añade que la mayoría de pacientes que recurren a un implante dental son aptos y tienen una buena aceptación en el tiempo del injerto dental.
Es un procedimiento muy recomendado por los especialistas, además, es un tratamiento que gracias a la tecnología cada vez es menos invasivo y más preciso si se hace con los especialistas adecuados. En Smile Makeover cuentan con tecnología NAVIDENT, un software que permite realizar el implante con asistencia digital, logrando un resultado 100% exacto y a menor tiempo.
Los implantes dentales han llegado para mejorar la salud, la funcionalidad y la estética dental de los pacientes y de esta manera, aportar mayor seguridad a la hora de comer y mostrar y lucir la sonrisa. Por lo tanto, son esenciales para cualquier paciente que quiera mejorar o corregir totalmente su sonrisa.
La colocación de implantes dentales es una práctica quirúrgica útil para mejorar la funcionalidad y estética dental. En México su precio medio suele ser de alrededor de $14,000 pesos. Para conocer el desglose por ciudades, visita nuestra página de precios de implantes dentales.

Imagen de Clínica Dental Palacios Lara
Gracias a la facilidad y tecnología del tratamiento, para la Academia Americana de implantes (AAID) es un procedimiento apto para la mayoría de las personas, ya sea para alguien que le falta un diente en su totalidad como para alguien que tenga una parte en un estado inadecuado. Las personas jóvenes también pueden optar a la inserción de un implante dental, siempre y cuando ya hayan cumplido la etapa de crecimiento y desarrollo facial, lo cual suele suceder a la edad de 16 años en las mujeres, y a los 18 años en los hombres aproximadamente.
Aunque los implantes dentales son aptos para casi todos los pacientes, es necesario mencionar que ningún implante va a ser tan perfecto como los dientes naturales; es por esto que los profesionales dentales insisten tanto en la salud e higiene del paciente, la cual debe iniciarse en acompañamiento de un odontólogo cuando el infante cumpla el primer año de edad.
En todo caso, lo mejor para decidir si es necesario un implante dental es acudir a un profesional dental de confianza y plantearle la pregunta de si en su caso, se puede hacer un implante dental ya que cada paciente es diferente y requiere atención personalizada.

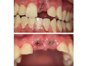
Imagen de Clínica Dental Palacios Lara
Quien decide en definitiva si el paciente necesita un implante dental o no, es un cirujano maxilofacial certificado y experimentado, pero a continuación mostramos algunas de las razones generales por las que el paciente puede plantearse por primera vez someterse a un tratamiento de implantología dental:

Implantes dentales
Para encontrar el mejor profesional dental que realice este procedimientose debe asistir en primera instancia a su odontólogo de cabecera, comentar la situación y preguntarle qué tan apropiado puede ser el implante dental. Se recomienda visitar primero al odontólogo de confianza ya que es este quien suele tener todo el historial médico dental del paciente, pero hay que aclarar que no todos los odontólogos realizan implantes dentales.
En este último caso es bueno informarse en diferentes clínicas sobre el procedimiento, pero se sugiere tener en cuenta los siguientes elementos:

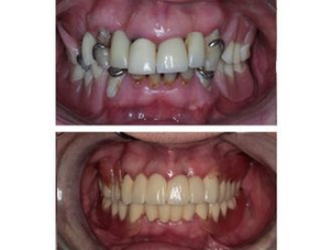
Imagen de Smile Makeover Playa del Carmen
Durante la primera cita el doctor evaluará diferentes aspectos, desde los amplios y más generales como tu higiene oral hasta los más particulares como la calidad de tu mordida y el aspecto de tu hueso maxilar.
Los profesionales dentales recomiendan que para el correcto plan de tratamiento con implantes es necesario realizar una completa historia clínica del paciente, un diagnóstico radiológico y una adecuada valoración del caso teniendo en cuenta distintos factores como enfermedades sistémicas, aspecto psicológico, edad y realizar un exhaustivo examen de la cavidad oral valorando cambios morfológicos, los rebordes alveolares, las crestas óseas y tejidos duros y blandos de la boca del paciente.
Todos estos exámenes y procedimientos previos deben realizarse para asegurar la adaptación y el resultado positivo del implante, ya que se ha demostrado que en casos donde el paciente cuenta con poco hueso en su parte maxilar es más difícil realizar el procedimiento de implante dental y en este caso se deben utilizar diferentes técnicas como la regeneración de tejido que permite recuperar el hueso perdido, el PRGF, injertos, regeneración ósea guiada y elevación de seno maxilar.

Imagen de Clínica Dental Palacios Lara
En México se manejan diferentes tipos de implantes dentales, los cuales se eligen teniendo en cuenta las necesidades del paciente y su estado dental. Pero en general para la AAID, los implantes se dividen en tres grandes grupos:

Vídeo de Grupo Salud Bucal GSB
Los implantes dentales generalmente se realizan con anestesia local,pero para pacientes con fobia a los sonidos de cirugía o a los odontólogos se puede brindar la opción de sedación consciente o anestesia general.
Debido a que la cirugía de implante dental es una cirugía por etapas es necesario que el paciente haya cumplido con todos los requerimientos de su especialista indique. Acá se explicará el procedimiento a grandes rasgos, aunque puede variar de paciente a paciente, ya que en algunos casos se puede necesitar de un injerto óseo lo cual alargará el proceso del implante.

Imagen de Or Dental
El paciente debe seguir al pie de la letra el consejo de su dentista, en este caso no debería haber ningún tipo de complicación, aún así se recomienda los siguientes cuidados después de la operación:

Imagen de la Dra. Luz Marely García
Los resultados en los implantes dentales reportan casos de éxito en su mayoría si el paciente ha tenido los cuidados adecuados y representan varias ventajas en comparación de otros tratamientos dentales:
Como toda intervención quirúrgica, los implantes dentales pueden tener riesgos en el paciente; sin embargo, estos problemas son menores y se resuelven con facilidad en compañia del profesional dental.
Esta alternativa de tratamiento tiene básicamente las mismas contraindicaciones que todas las restauraciones basadas en implantes, principalmente en relación con los riesgos asociados a los procedimientos quirúrgicos. Aun así, hay pocas contraindicaciones absolutas (p. Ej., Infarto de miocardio reciente, accidente cerebrovascular, cirugía cardiovascular y trasplante; inmunosupresión profunda; uso de radioterapia o bisfosfonato), siendo el grado de control de la enfermedad mucho más importante que la naturaleza del trastorno sistémico en sí. Además, hay complicaciones o aspectos de comportamiento que pueden aumentar el fracaso del tratamiento o la tasa de complicaciones, que deben reconocerse (por ejemplo, diabetes, estado de higiene bucal, tabaquismo, disminución de la frecuencia de uso de los servicios dentales). Así como:
Con el fin de aumentar la probabilidad de éxito de un implante dental, la boca, las encías y las mandíbulas deben estar en una condición saludable. Hay algunos casos en que un implante dental está contraindicado porque el riesgo de fracaso es significativamente mayor, es por esto que el paciente debe asegurarse de que el tratamiento de implante dental va a ser realizado por un profesional altamente cualificado.